わきが・多汗症治療

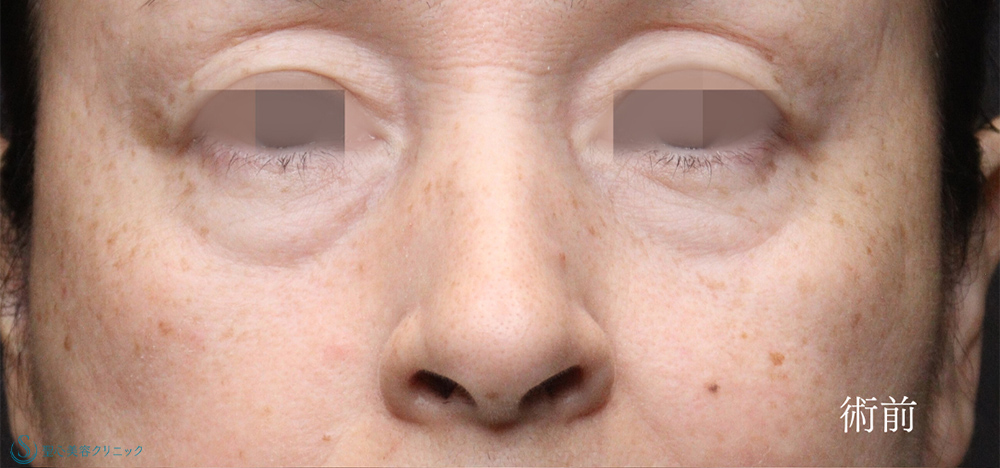
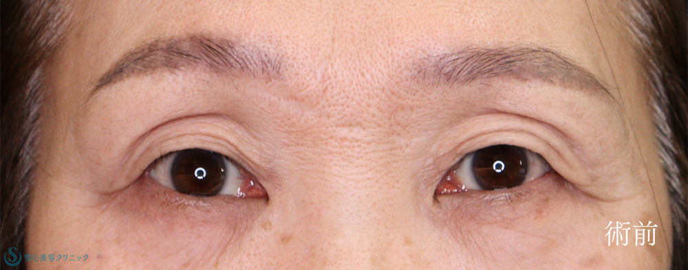
下眼瞼の大きめのクマをハムラ法でスッキリ解消し、ミッドチークリフトで頬の挙上を行いました。
下眼瞼の大きめのクマをハムラ法でスッキリ解消し、皮膚のたるみやしわも同時に改善。
ミッドチークリフトにより、頬の位置が引き上がり、斜めからも美しいカーブに。
クマ治療は個々に合った方法があります。クマでお悩みの方は無料カウンセリングに是非お越しください。
私のオフィシャルブログ、インスタグラムもあわせてご参考ください。
https://ameblo.jp/seishin-kawabata/entry-12754715731.html
https://www.instagram.com/seishin_kawabata/
下眼瞼切開術/下眼瞼除皺術/ハムラ法
| 処置方法 | 皮膚切除し、症状に応じて眼窩脂肪を適量切除し、隔膜を頬骨に固定する。 |
|---|---|
| リスク・副作用 | 術後の浮腫、痛み、内出血、結膜出血、結膜浮腫、下眼瞼外反症、傷痕、一時的な流涙やドライアイ、目尻の引き攣れ、異常知覚症、tear troughの増強、色素沈着 |
| 費用 | 770,000円 |
合計金額/770,000円(847,000円)※ハムラ法とミッドチークリフトを行っています
※()内は税込みの金額です。
※料金、リスク・副作用、施術内容は登録時点での情報となります。最新の情報はクリニックへお問い合わせください。